Complex Cases That Set Us Apart
Showing our work speaks louder than listing services
Our Clinical Results
Every case tells a story of precision, expertise, and successful outcomes. Hover to see the transformation.
Internal Bleaching for Gray Tooth — Before & After
Calcified Root Canal Treated with CBCT and GentleWave
C-Shaped Canal Anatomy — Complex Root Canal Case
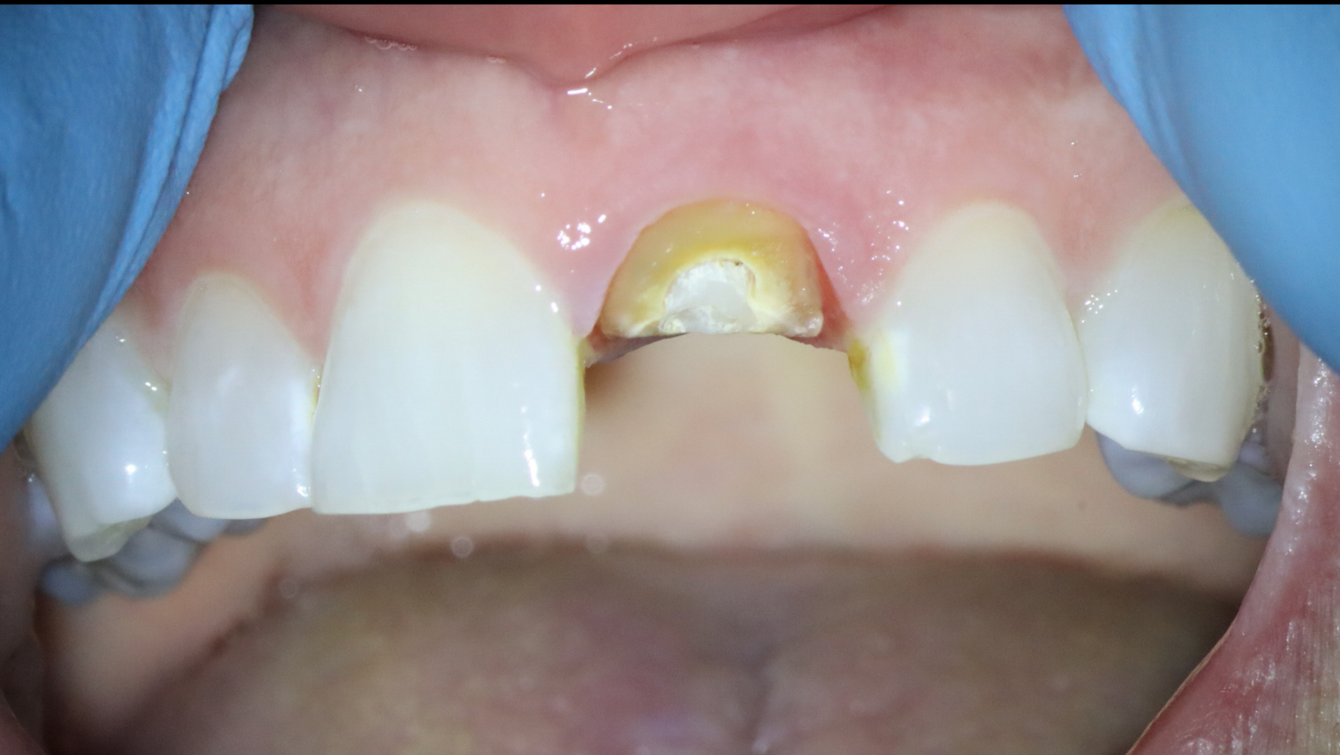
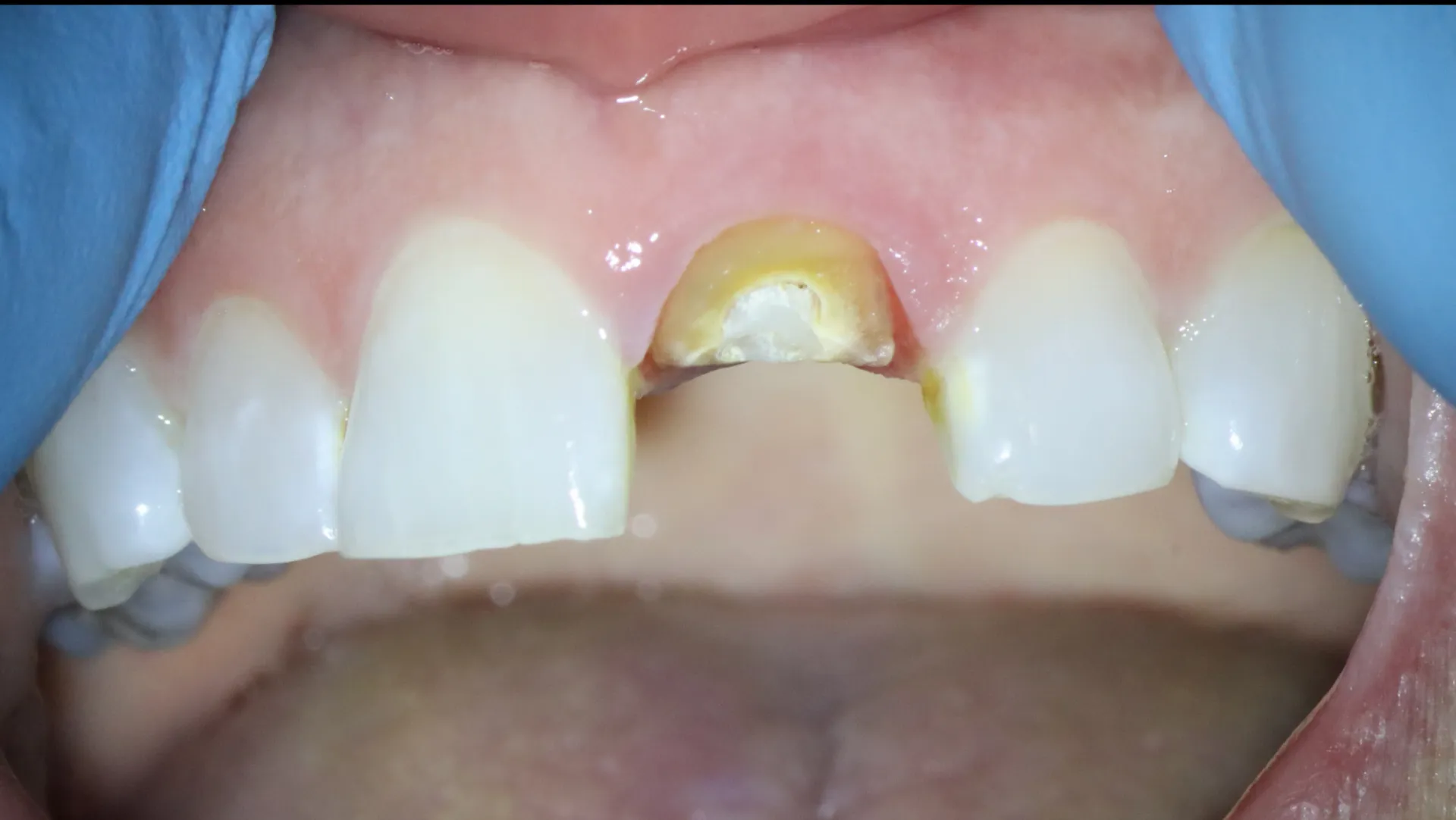
Fractured Front Tooth Saved — Retreatment Case
Endo-Perio Lesion — Combined Infection Treatment Case
Perforation Repair with MTA — Saving a Damaged Molar
Intentional Reimplantation — Saving a Molar When Retreatment Fails
Persistent Bite Pain After Root Canal — Missed MB2 Canal Found
Cracked Molar Saved with Biomimetic Bonding — 9-Year Follow-Up
Muscle Pain Misdiagnosed as Tooth Pain — Root Canal Avoided
Sinus Pain vs. Tooth Pain — How We Tell the Difference
Persistent Pain After Root Canal — Cemental Tear Found by Surgery
Throbbing Tooth Pain and Eye Swelling — Rare Sinus Carcinoma Uncovered
Showing 13 cases across all categories
What Makes These Cases Different
Real Cases, Not Stock Photos
Every radiograph and case description is from actual patient treatment. Authenticity builds trust.
Educational Narrative
We explain what made each case challenging and how we approached it. Teaching demonstrates expertise.
Complexity Highlighted
"These are the cases that are the reason they need endodontists" - we show situations that require specialist intervention.
Long-Term Follow-Up
Four-year, six-year, even 14-year recalls demonstrate our commitment to tracking outcomes, not just completing procedures.
Interdisciplinary Collaboration
We work closely with periodontists, orthodontists, and oral surgeons. Team approach produces best outcomes.
Technology in Context
GentleWave, CBCT, surgical microscopes, and lasers shown in actual use, not as marketing buzzwords.
Humility and Honesty
We acknowledge when things don't work perfectly, when we cause complications, and when extraction is the better choice.
Patient-Centered Outcomes
Focus on solving problems and improving lives, not just performing procedures. The patient's experience matters.
Why Dentists Refer Complex Cases to Us
Smart referral decisions benefit patients and strengthen professional relationships
Daily Experience
What's a once-a-year challenge in general practice is our everyday work. Pattern recognition from treating hundreds of similar cases makes the difference.
Specialized Technology
Surgical microscopes, CBCT imaging, GentleWave irrigation, heat-treated NiTi rotaries - tools that make impossible cases merely difficult.
Time and Focus
Complex cases need extended appointments and undivided attention. Our schedule is built around difficult endodontics, not squeezed between other procedures.
Have a Complex Case?
When standard endodontics isn't enough, we're here. Our experience with challenging cases means we can often save teeth that seem hopeless.
Mon-Fri: 8am-5pm | 23451 Madison St., Suite 210, Torrance, CA