Featured Case

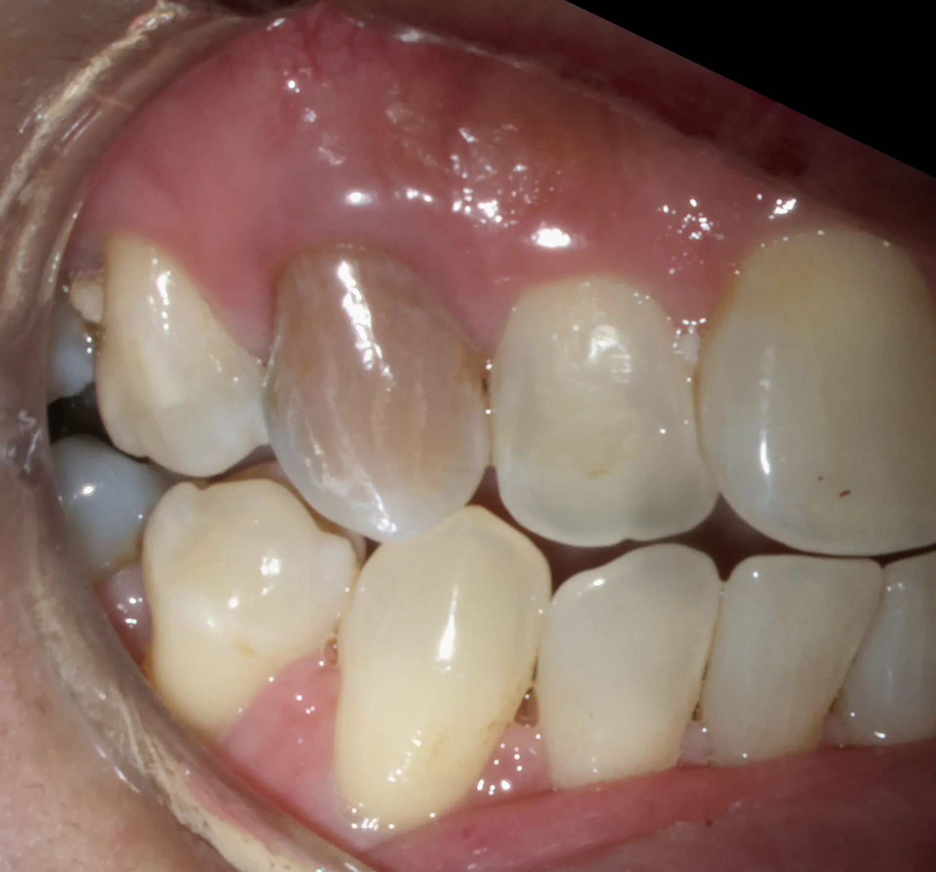
Internal Bleaching for Gray Tooth — Before & After

1 Week Moderate Difficulty
Internal Bleaching Sodium Perborate

Patient Profile

42-year-old Torrance resident with gray discoloration present for several years

Clinical Challenge

Long-standing discoloration with underlying yellow tones—less predictable than recent cases

Approach

Internal bleaching with sodium perborate for one week

Outcome

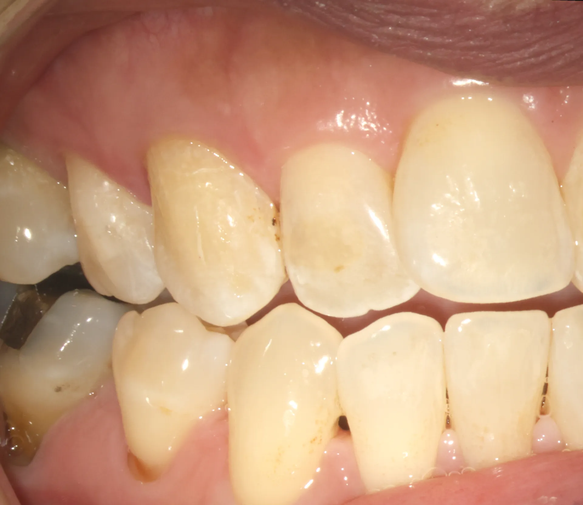
Gray tone eliminated, yellow improved, aesthetically acceptable result

Treatment Details

The tooth had been gray for several years, which makes internal bleaching somewhat unpredictable. In cases of long-standing discoloration, the dentinal tubules become more deeply stained, and the response to bleaching agents is less consistent than in recent trauma cases.

The sodium perborate bleaching paste was placed within the pulp chamber and sealed with a temporary restoration. After one week, the tooth was re-evaluated. The gray discoloration—which is typically more responsive to internal bleaching—was successfully eliminated. However, the underlying yellow tone, which is more resistant to treatment, showed improvement but did not completely resolve.

Bleaching Protocol

  • Existing restoration and gutta-percha removed to 2mm below gingival crest
  • Protective barrier placed over remaining root canal filling
  • Sodium perborate mixed with water to paste consistency
  • Bleaching material packed into pulp chamber
  • Temporary restoration sealed access
  • Re-evaluation after 7 days

Clinical Assessment

This case represents a realistic outcome for internal bleaching in adult patients with long-standing discoloration. While not a perfect color match to the adjacent teeth, the result is aesthetically acceptable and represents significant improvement from the pre-treatment appearance.

The tooth now blends acceptably with the adjacent teeth, avoiding the need for more invasive cosmetic procedures such as veneers or crowns. The patient was satisfied with the improvement, understanding that complete elimination of all discoloration was unlikely given the chronicity of the problem.

Alternative Considerations

If the patient had desired further improvement, the available options would have been:

  • Additional bleaching cycles (diminishing returns likely)
  • Porcelain veneer for the affected tooth
  • Full coverage crown
  • External bleaching of all anterior teeth to create uniformity

The conservative approach of internal bleaching alone was appropriate and met the patient's aesthetic goals without requiring tooth reduction.

Key Takeaways

Clinical Insights

  • Predictability varies by age: Internal bleaching of adult teeth is less predictable than children's teeth. Younger patients typically achieve near-perfect color matches, while adults often see good but not ideal results.
  • Duration matters: Long-standing discoloration (present for years) is more resistant to treatment than recent discoloration (months). The longer stains have been present, the deeper they penetrate.
  • "Good enough" has value: Results that fall short of perfection can still provide significant aesthetic improvement and high patient satisfaction. Not every case requires ideal outcomes.
  • Realistic expectations: Setting appropriate expectations upfront is crucial for patient satisfaction. Discussing the unpredictability of long-standing cases prevents disappointment.
  • Conservative first: Internal bleaching should be attempted before considering more invasive restorative options. It's reversible and preserves tooth structure.

When to Consider Internal Bleaching

Ideal candidates include:

  • Root canal treated teeth with discoloration
  • Patients preferring conservative treatment
  • Good oral hygiene and compliance
  • Realistic aesthetic expectations
  • No significant structural defects requiring restoration

Clinical Disclaimer: These cases are presented for educational purposes and published with appropriate patient consent. Patient identifying information has been removed in compliance with HIPAA regulations. Individual results may vary. All radiographic images and case descriptions represent actual patient treatment outcomes.

Experience Matters in Complex Endodontics

When you refer patients to us, they benefit from decades of experience with the most challenging cases. We're here to help when routine endodontics isn't enough.

Mon-Fri: 8am-5pm | 23451 Madison St., Suite 210, Torrance, CA