Persistent Pain After Root Canal — Cemental Tear Found by Surgery

1 hour Extreme Difficulty
Microscope-Assisted Surgery Cemental Tear Repair

Patient Profile

Adult Palos Verdes Estates patient with lingering bite and chewing discomfort in the lower anterior region and recurring infection

Clinical Challenge

Persistent symptoms and a buccal sinus tract suggested incomplete healing post-root canal treatment.

Approach

Microscope-assisted surgical exploration identified and repaired a cemental tear on teeth #24 and #25.

Outcome

Successfully addressed the root cause with positive initial recovery and ongoing monitoring.

Treatment Details

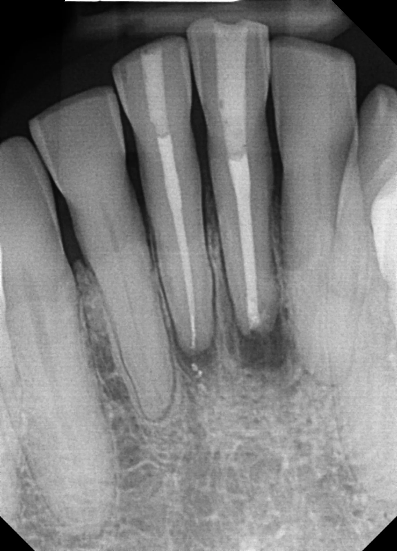
The referring dentist had completed root canal treatment on teeth #24 and #25 several months prior, but the patient returned with unresolved bite sensitivity and a draining sinus tract on the buccal gingiva. CBCT imaging revealed periapical radiolucency with thinning of the buccal cortical plate — findings that didn't fully explain why the canals appeared well-obturated.

Surgical Protocol

We raised a full-thickness mucoperiosteal flap under local anesthesia to expose the root apices of both teeth. Under 16x microscope magnification, the root surfaces were inspected systematically.

  • Key Finding: A vertical cemental tear extending 4-5mm along the root surface of #24, with a loose cementum fragment partially separated from the root.
  • Granulation Tissue: Inflammatory tissue had infiltrated the tear defect, creating a pocket of chronic infection invisible on any radiograph.
  • Fragment Removal: The loose cementum fragment was elevated and removed with microsurgical curettes under direct visualization.

Why the Root Canal Didn't Solve It

The original endodontic treatment was technically adequate — the canals were properly cleaned and filled. But a cemental tear is an external root defect. No amount of intra-canal treatment addresses a fracture or tear on the outside of the root surface. This distinction is critical: the problem was structural, not endodontic.

Clinical Assessment

Cemental tears are among the most difficult endodontic diagnoses because they don't appear on conventional periapical radiographs and often present identically to failed root canal treatment. Even CBCT can only suggest the possibility — definitive diagnosis requires direct surgical visualization.

Diagnostic Reasoning

  • Sinus Tract Persistence: A sinus tract that doesn't resolve after technically sound root canal treatment strongly suggests an extra-radicular cause — fracture, external resorption, or cemental tear.
  • CBCT Pattern: Periapical radiolucency with buccal plate erosion in a well-treated tooth pointed to a surface-level defect rather than missed canal anatomy.
  • Probing: Normal periodontal probing depths ruled out vertical root fracture extending to the sulcus.

Why Surgery Was the Only Option

Non-surgical retreatment would have been futile — the canals were already adequately treated. The cemental tear exists on the external root surface, accessible only through a surgical approach. Without exploration, this patient would have continued with chronic symptoms and eventually faced extraction.

Key Takeaways

Clinical Insights

  • Cemental Tears Mimic Endodontic Failure: When a well-treated tooth doesn't heal, consider structural causes on the root surface — not just missed canals.
  • CBCT Suggests, Surgery Confirms: Advanced imaging narrows the differential, but only direct visualization under the microscope provides a definitive diagnosis of cemental tears.
  • Sinus Tracts Are Diagnostic Clues: A persistent sinus tract after adequate root canal treatment is a red flag for extra-radicular pathology requiring surgical exploration.

When to Refer for Surgical Exploration

  • Persistent symptoms or sinus tract despite technically adequate root canal treatment.
  • CBCT showing periapical pathology that doesn't correlate with canal quality.
  • Buccal bone loss or cortical plate thinning in a non-periodontal pattern.

Bottom Line: When a tooth doesn't heal after root canal treatment, the answer isn't always retreatment. Surgical exploration can uncover hidden causes like cemental tears that no amount of canal work would fix.

Clinical Disclaimer: These cases are presented for educational purposes and published with appropriate patient consent. Patient identifying information has been removed in compliance with HIPAA regulations. Individual results may vary. All radiographic images and case descriptions represent actual patient treatment outcomes.

Related Articles

Learn more about these treatments from Dr. Phan

Cracked Tooth: Crown, Root Canal, or Extraction? How We Decide Cracked Teeth

Cracked Tooth: Crown, Root Canal, or Extraction? How We Decide

Not all cracked teeth need the same treatment. Dr. Jason Phan explains the 5 types of cracks, which ones can be saved, and how a microscope and CBCT determine the right treatment.

Retreatment vs. Apicoectomy: Which Fixes a Failed Root Canal? Surgery & Retreatment

Retreatment vs. Apicoectomy: Which Fixes a Failed Root Canal?

Failed root canal — should you redo it or go straight to surgery? Dr. Jason Phan compares retreatment vs. apicoectomy: when each works, success rates, costs, and recovery.

Failed Root Canal: Should You Try Retreatment or Get an Implant? Surgery & Retreatment

Failed Root Canal: Should You Try Retreatment or Get an Implant?

Your root canal didn't work — now what? Dr. Jason Phan compares retreatment vs. extraction and implant: success rates, costs, timelines, and how to decide which is right for your tooth.

Root Canal vs. Implant: Which Is the Better Investment for Your Tooth? Root Canal

Root Canal vs. Implant: Which Is the Better Investment for Your Tooth?

Choosing between saving your tooth with a root canal or extracting and replacing it with an implant? Dr. Jason Phan compares cost, success rates, timelines, and long-term outcomes.

Persistent Pain After Root Canal: Causes, Evidence, and When Retreatment Is Needed Root Canal

Persistent Pain After Root Canal: Causes, Evidence, and When Retreatment Is Needed

A detailed clinical guide to understanding why pain persists after root canal treatment. Dr. Jason Phan covers odontogenic and nonodontogenic causes, diagnostic approaches, and evidence from current research.

Apicoectomy Explained: When Root Canal Isn't Enough Surgery & Retreatment

Apicoectomy Explained: When Root Canal Isn't Enough

Sometimes a root canal isn't enough to save a tooth. Dr. Jason Phan explains what an apicoectomy is, when you need one, and what to expect during recovery.

What Happens During an Endodontic Consultation Consultation

What Happens During an Endodontic Consultation

Nervous about seeing an endodontist? Dr. Jason Phan walks you through exactly what happens during a consultation at our Torrance office — from the exam to the treatment plan.

Bruxism Pain Mimicking Root Canal Pain: When Grinding Feels Like a Toothache Pain Diagnosis

Bruxism Pain Mimicking Root Canal Pain: When Grinding Feels Like a Toothache

Teeth grinding and clenching can cause tooth pain that mimics root canal symptoms. Dr. Jason Phan explains how a CBCT consultation in Torrance prevents unnecessary treatment.

Myofascial Pain Mimicking Root Canal Pain: When Jaw Muscles Cause Toothaches Pain Diagnosis

Myofascial Pain Mimicking Root Canal Pain: When Jaw Muscles Cause Toothaches

Jaw muscle trigger points can refer pain to teeth, mimicking a root canal problem. Dr. Jason Phan explains how a detailed CBCT consultation in Torrance prevents misdiagnosis.

Sinus Pain Mimicking Root Canal Pain: How to Tell the Difference Pain Diagnosis

Sinus Pain Mimicking Root Canal Pain: How to Tell the Difference

Maxillary sinusitis can cause tooth pain that feels like a root canal is needed. Dr. Jason Phan explains how CBCT imaging and thorough evaluation in Torrance prevent misdiagnosis.

Trigeminal Neuralgia & Other Nerve Conditions Mimicking Root Canal Pain Pain Diagnosis

Trigeminal Neuralgia & Other Nerve Conditions Mimicking Root Canal Pain

Trigeminal neuralgia causes intense facial pain often misdiagnosed as tooth problems. Dr. Jason Phan explains how CBCT consultation in Torrance prevents unnecessary root canals.

Endodontist vs. Dentist for Root Canal: 95% vs. 85% Success Rate Root Canal

Endodontist vs. Dentist for Root Canal: 95% vs. 85% Success Rate

Endodontists have a 95–97% root canal success rate vs. 85–90% for general dentists. See the full comparison of training, equipment, cost, and when the specialist difference matters most.

Shingles Presenting as Tooth Pain: What You Need to Know Pain Diagnosis

Shingles Presenting as Tooth Pain: What You Need to Know

Shingles can mimic tooth pain, leading to unnecessary dental procedures. Dr. Jason Phan explains how herpes zoster affects the trigeminal nerve, the signs to watch for, and when to seek treatment.

Experience Matters in Complex Endodontics

When you refer patients to us, they benefit from decades of experience with the most challenging cases. We're here to help when routine endodontics isn't enough.

Mon-Fri: 8am-5pm | 23451 Madison St., Suite 210, Torrance, CA