A root canal is a dental procedure used to treat a tooth that has become infected or inflamed inside. A root canal is necessary when the pulp, the soft tissue inside the tooth containing nerves and blood vessels, becomes infected or inflamed. If left, the infection or inflammation is caused by a buildup of bacteria inside the tooth. t untreated, the infection can spread to other parts of the body and cause serious health problems.
Primary Causes of Root Canal:
Several different factors can lead to the need for a root canal.
- Decay: The most common cause of root canals is tooth decay. When the protective outer layer of a tooth, the enamel, is damaged, bacteria can enter the tooth and begin to attack the softer inner layers of the tooth, including the pulp.
- Trauma: A blow to the tooth can also cause damage to the pulp and lead to the need for a root canal. This can happen from a sports injury, a fall, or even from biting down on something hard. See more about trauma here.
- Gum disease: Gum disease is another common cause of root canals. When the gums become infected, they can pull away from the tooth, exposing the roots and making it easier for bacteria to enter the pulp.
- Large fillings: large fillings in the tooth can also cause damage to the pulp and lead to the need for a root canal.
- Cracked teeth: A crack in a tooth can also allow bacteria to enter the pulp, leading to infection and inflammation. See more about cracked teeth here.
Symptoms of Root Canal
The symptoms of a tooth that needs a root canal can vary, but common signs include the following:
- Pain: This is the most common symptom of a tooth that needs a root canal. The pain can be severe and radiate to other parts of the face, jaw, or neck.
- Sensitivity: Teeth that need a root canal may also be sensitive to hot or cold temperatures.
- Swelling: The gums around the affected tooth may be swollen and tender.
- Tenderness: The affected tooth may also be tender to the touch.
If you have any of these symptoms, please refer to this article and see if you need a root canal.
Diagnosis and treatment
- Diagnosis: The process of diagnosis starts with a thorough examination of the teeth and gums by the dentist. X-rays may be taken to check the inside of the tooth and surrounding bone. Sometimes a 3D Cone beam CBCT scan may be necessary.
A root canal procedure is a dental procedure that removes the infected or damaged pulp (nerve and blood vessels) from inside the tooth to save the tooth from further damage or extraction. The procedure typically involves the following steps:
- Local anesthesia: The dentist will numb the area around the affected tooth with a local anesthetic to minimize discomfort during the procedure.
- Accessing the pulp chamber: A small hole is made in the top of the tooth to access the pulp chamber and the root canals.
- Cleaning and disinfecting the canals: The dentist will use tiny instruments called files to remove the infected or damaged pulp and clean and disinfect the canals. The canals will be cleaned and disinfected using unique solutions and irrigation.
- Filling and sealing the canals: Once the canals have been cleaned and disinfected, they will be filled and sealed to prevent bacteria from re-entering the tooth. A specific material called gutta-percha is usually used to fill the canals, and a sealer is used to seal the canals and the access hole.
- Placement of post and core: if required, a post will be placed inside the root canal to provide additional support for the tooth, and the core material will be placed over the post to restore the shape and size of the tooth.
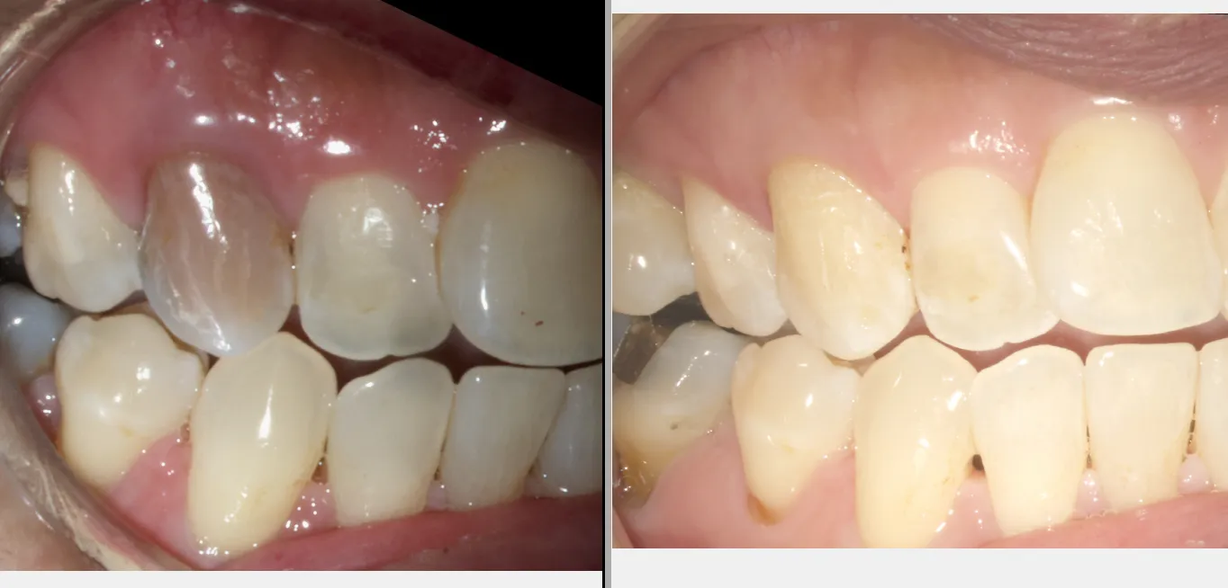
- Placement of a crown: Once the root canals have been sealed, a dental crown will be placed over the tooth to protect and strengthen it.
Sedation Options
If you are concerned or anxious about dental treatment, don’t worry. You are not alone! About 30% of people do not see dental care due to fear. Dr. Phan offers sedation options for root canal treatment here.
Gentlewave procedure
The GentleWave procedure (if you are a candidate) is an advanced form of root canal therapy that uses a unique combination of ultrasonic energy, laser energy, and a special liquid to clean and disinfect the canals in a more effective and efficient manner.
The GentleWave procedure uses ultrasonic energy to remove the infected tissue, bacteria, and debris from the canals and the surrounding tooth structure without any physical instrument. this eliminates the risk of injury to the surrounding tooth structure; it also uses a particular liquid that is activated by the laser energy, which provides a more thorough disinfection of the canals.
GentleWave is a more comfortable and efficient way to perform a root canal procedure as it reduces the treatment time and post-treatment discomfort. It can also provide better results in hard-to-treat cases like teeth with multiple or calcified canals. The technology is designed to achieve improved cleaning and disinfection while minimizing the potential damage to the surrounding tooth structure, leading to improved healing and increased treatment success rates. More information is in this article.
